
Retained Root Surgery
Expert removal of problematic tooth fragments

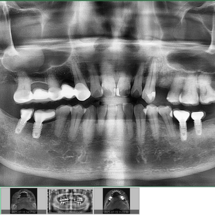
What is Retained Root Surgery?
Retained root surgery removes tooth root fragments that remain in the jawbone after tooth extraction or breakage. These fragments can cause pain, infection, or interfere with healing and future dental work. Our minimally invasive techniques ensure complete removal and proper healing.
Know What to Look for in Retained Root Removal Surgery

Infection & Pain
A retained root can harbor bacteria, leading to infection, swelling, pus formation, and persistent discomfort that affects chewing and speaking.

Bone Resorption
Over time, the jawbone around the root can shrink or weaken, complicating future treatments like implants.

Periodontal Problems
Retained roots can create gum disease, periodontal pockets, and bone loss around neighboring teeth.

Orthodontic & Functional Issues
Roots may interfere with tooth alignment, orthodontic treatment, or proper bite (occlusion), making chewing less effective.

Aesthetic Concerns
If visible or altering tooth positioning, a retained root can negatively affect appearance, smile confidence, and self-esteem.

Cyst or Tumor Formation (Rare)
In uncommon cases, retained roots can cause cysts or tumors, leading to significant swelling, pain, and the need for complex treatment.
Know What to Look For in a Dental Cleaning
A quality dental cleaning should be more than a quick polish. Here's what defines a good treatment:
Comprehensive Oral Examination
Not just a cleaning — your dentist should assess your gums, teeth, and oral hygiene before starting.
Gentle, Thorough Scaling
Plaque and tartar should be removed carefully using both ultrasonic and hand instruments, not rushed or overly aggressive.
Polishing with Purpose
Be cautious if polishing is done only with a rubber cup — that’s typically used for children. Adult stains often require airflow polishing (ProphyJet) for effective stain removal. Ask if this option is available.
Cleaning Done by a Dentist vs. Hygienist
When done by a dentist, you're getting care from someone trained to identify and treat overall oral health issues — not just polish teeth. This includes spotting early decay, bite problems, or gum disease.
Charting & Documentation
Are they recording your gum health, pocket depths, or plaque levels? Proper charting helps track progress and detect issues early.
Before & After Visibility
Can you see the difference? A quality clinic will often show you before-and-after images — especially when using high-magnification or intraoral cameras — so you're not just told, but shown what’s been cleaned.
Treatment Overview
Precise Surgical Removal
Retained root removal is a routine surgical procedure used to extract fragments of tooth roots left behind after a fracture or incomplete extraction. The process begins with diagnostic imaging to locate the root and assess its depth. Under local anaesthesia, your dentist will access the area, remove any bone if necessary, and extract the root using precise instruments. The site is then cleaned, sutured, and allowed to heal. This straightforward treatment helps prevent infection, restores oral health, and prepares the area for future procedures such as dental implants. With modern techniques, most patients find the experience comfortable and recovery uncomplicated.
ideal Candidates
Who It’s For
Perfect for anyone looking to maintain healthy teeth and gums. Especially important for patients prone to plaque buildup, smokers, or those with early signs of gum issues.


ideal Candidates
Who It's For?
Retained root removal is recommended for patients with fractured teeth where roots remain below the gumline, or for those with root fragments left behind after past extractions. It’s often necessary when these roots cause infection, swelling, or discomfort—or when they put nearby teeth and bone at risk. The procedure is also an important step for anyone preparing for dental implants or dentures, ensuring a clean, stable foundation. If you’re experiencing ongoing pain, abscesses, or signs of infection linked to a retained root, this treatment may be the right next step.

ideal Candidates
Who It’s For
Perfect for anyone looking to maintain healthy teeth and gums. Especially important for patients prone to plaque buildup, smokers, or those with early signs of gum issues.

How It Works?

Thorough oral assessment

Ultrasonic scaling to remove plaque & tartar

Polishing to smoothen and brighten enamel
Our professional cleaning goes beyond brushing. Using ultrasonic and hand instruments, we gently remove hardened plaque and polish the teeth to a smooth, refreshed finish — leaving your mouth feeling clean and revitalised.
Ready to Light Up the Room?
Schedule a Whitening Session


Who It’s For
Perfect for anyone looking to maintain healthy teeth and gums. Especially important for patients prone to plaque buildup, smokers, or those with early signs of gum issues.
FAQs
Surgical Questions
How do you know if I have retained roots?
X-rays or 3D imaging reveal fragments that may not be visible or causing symptoms yet.
Is the surgery complicated?
Most cases are straightforward outpatient procedures completed in 30-60 minutes.
What's the recovery like?
Healing typically takes 1-2 weeks with minimal discomfort when post-operative instructions are followed.
Can this be done with other procedures?
Retained root removal is often performed together with bone grafting, to prepare the site for a dental implant, or even to place the implant on the same day as the root removal.







.jpeg)

