
Dental X-Ray
See what's hidden beneath the surface

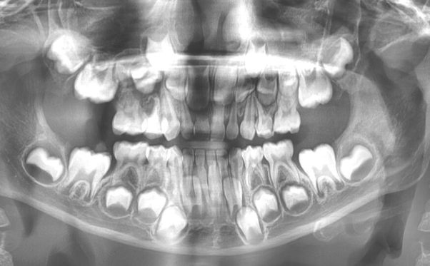
What are Dental X-Rays?
Dental X-rays are essential diagnostic tools that reveal hidden problems invisible to the naked eye. Our advanced digital imaging provides detailed views of your teeth, roots, and jaw bone with minimal radiation exposure, helping us detect issues early and plan precise treatments.
Know What to Look for in a Dental X-Ray
Not all dental X-rays are the same. Here’s what defines a good diagnostic process:

Appropriate Use, Not Overuse
A responsible clinic takes X-rays only when needed — based on your symptoms, history, or treatment plan — not as a routine upsell.

Modern Digital Technology
Look for clinics that use digital sensors or CBCT instead of outdated film. Digital X-rays reduce radiation exposure and give clearer images.

Full Coverage When Indicated
For a proper check, your dentist should select the right type — bitewing for decay, periapical for roots, OPG for wisdom teeth or jaw, CBCT for implants or complex cases.

Low Radiation Protocols
Ask if the clinic follows ALARA (As Low As Reasonably Achievable) guidelines, using protective aprons or thyroid collars when appropriate.

Interpretation by the Dentist
It’s not just about taking the X-ray — a trained dentist should review it with you, pointing out any decay, bone loss, or hidden issues.

Record Keeping & Accessibility
Good clinics archive your X-rays digitally and can share them with you on request. This helps with future comparison and continuity of care.
Know What to Look For in a Dental Cleaning
A quality dental cleaning should be more than a quick polish. Here's what defines a good treatment:
Comprehensive Oral Examination
Not just a cleaning — your dentist should assess your gums, teeth, and oral hygiene before starting.
Gentle, Thorough Scaling
Plaque and tartar should be removed carefully using both ultrasonic and hand instruments, not rushed or overly aggressive.
Polishing with Purpose
Be cautious if polishing is done only with a rubber cup — that’s typically used for children. Adult stains often require airflow polishing (ProphyJet) for effective stain removal. Ask if this option is available.
Cleaning Done by a Dentist vs. Hygienist
When done by a dentist, you're getting care from someone trained to identify and treat overall oral health issues — not just polish teeth. This includes spotting early decay, bite problems, or gum disease.
Charting & Documentation
Are they recording your gum health, pocket depths, or plaque levels? Proper charting helps track progress and detect issues early.
Before & After Visibility
Can you see the difference? A quality clinic will often show you before-and-after images — especially when using high-magnification or intraoral cameras — so you're not just told, but shown what’s been cleaned.
Treatment Overview
Advanced Digital Imaging
Our advanced digital X-ray system delivers instant, high-resolution images with up to 90% less radiation than traditional film — about the same as a short flight. It’s fast, accurate, and comfortable. Your dentist will review your symptoms and goals to choose the right type of X-ray — bitewing, periapical, panoramic, or CBCT. You may need to remove metal accessories, and a lightweight apron or collar adds extra protection. The process is quick: small sensors are placed briefly in your mouth, or a panoramic/CBCT scan takes less than a minute. Results appear instantly, and your dentist will walk you through the images, point out any concerns, and explain the next steps clearly.
ideal Candidates
Who It’s For
Perfect for anyone looking to maintain healthy teeth and gums. Especially important for patients prone to plaque buildup, smokers, or those with early signs of gum issues.


ideal Candidates
Who Needs X-Rays?
Dental X-rays play a key role in comprehensive care at every age, helping reveal issues that aren’t always visible during a routine exam. They’re used to establish a baseline for new patients, investigate symptoms like pain or swelling, and support treatment planning for fillings, orthodontics, implants, and more. With safe, targeted imaging tailored to each person’s needs, both children and adults benefit from early detection, accurate diagnosis, and more effective care.

ideal Candidates
Who It’s For
Perfect for anyone looking to maintain healthy teeth and gums. Especially important for patients prone to plaque buildup, smokers, or those with early signs of gum issues.

How It Works?

Thorough oral assessment

Ultrasonic scaling to remove plaque & tartar

Polishing to smoothen and brighten enamel
Our professional cleaning goes beyond brushing. Using ultrasonic and hand instruments, we gently remove hardened plaque and polish the teeth to a smooth, refreshed finish — leaving your mouth feeling clean and revitalised.
Ready to Light Up the Room?
Schedule a Whitening Session


Who It’s For
Perfect for anyone looking to maintain healthy teeth and gums. Especially important for patients prone to plaque buildup, smokers, or those with early signs of gum issues.
FAQs
X-Ray Questions Answered
How often do I need X-rays?
Frequency depends on your individual risk factors, typically ranging from 6 months to 2 years.
Are digital X-rays safe?
Yes, digital X-rays use significantly less radiation than traditional film and are considered very safe.
What can X-rays detect?
Hidden cavities, bone loss, infections, tumors, and other conditions not visible during regular examination.
Do they hurt?
Not at all. The process is completely painless and takes only a few minutes.







.jpeg)
